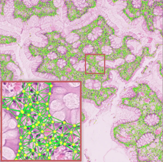
CGC-Net: Cell Graph Convolutional Network for Grading of Colorectal Cancer Histology Images

Jan 1, 2019ยท
Yanning Zhou
Yanning Zhou
,
Simon Graham
,
Navid Alemi Koohbanani
,
Muhammad Shaban
,
Pheng-Ann Heng
,
Nasir Rajpoot
ยท 0 min read
teasor
Type
Publication
The IEEE International Conference on Computer Vision (ICCV) Workshops